BTX-9800D высокочастотный блок


Поделиться:

Цена:1 117 048,92 ₽ - 1 530 204,00 ₽*
Стоимость в USD (на сегодня):Узнать

Количество:

Описание и отзывы

Характеристики

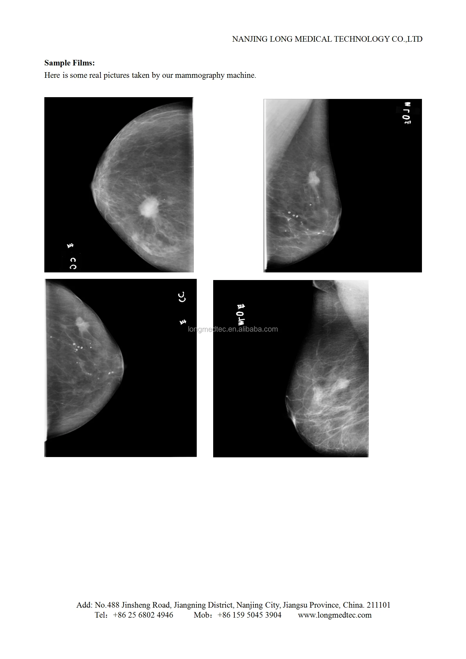
Описание продукта:
BTX-9800D высокочастотная маммография

 BTX-9800D .pngBTX9800D _02.pngBTX9800D _03.pngBTX9800D _04.png

BTX-9800D высокочастотная маммография

Свойства Медицинское рентгеновское оборудование и аксессуары
Название продукта Высокочастотный блок маммографии
Эффективный корректирующий карандаш детектора 23*15 см, 29*23 см
Производственный процесс

Production Process 1 .jpg 

Упаковка & Доставка

Packing and shipping .jpg 

Модель LXR39
Продукт Система маммографии
Сервис

Contact Infomation.jpg 


Новинки - Розница

0.0033 s.